Cuando sois los padres de niños pequeños o de adolescentes os surgen una seria de dudas.... Desde hace algún tiempo pensáis consultar a un ortodoncista para vuestros hijos o para vosotros mismos. Vamos a tratar de responderos para que tengáis todas las respuestas necesarias a vuestra búsqueda. 

 

¿CUANDO ES PRECISO CONSULTAR UN ORTODONCISTA?

 NIÑOS Y ADOLESCENTES

La ortodoncia afecta, cada vez a más niños. Muchos padres se preguntan cuándo es el momento de consultar a un especialista. Cada niño es un caso individual, sin embargo, hay indicios que pueden ayudaros a reconocer ésta necesidad, antes de hacer una visita al ortodoncísta.
En general, es mejor consultar a temprana edad, cuando el niño todavía tiene sus dientes de leche.
Alguno de los casos que pueden alertaros y que tienen que ser tratados pronto son:

 

doble dentición DOBLE DENTADURA

 

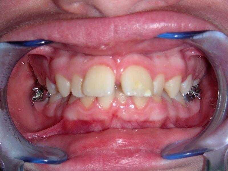
falta espacio colmillos APIÑAMIENTO, falta de espacio para el correcto alineamiento de los dientes.

 

falta de espacio para el incisivo lateral FALTA DE ESPACIO PARA LOS CANINOS

 

prominencia incisivos superiores PROMINENCIA DE LOS INCISIVOS SUPERIORES; riesgo de fractura en caso de golpe.

 mordida cruzada dientes posteriores FALTA DE ESPACIO PARA EL LATERAL Y MORDIDA INVERSA.

mordida cruzada dientes anteriores MORDIDA INVERSA DIENTES ANTERIORES,  las paletas de arriba evolucionan por detrás de las paletas de abajo (sentido inverso).

mordida abierta MORDIDA ABIERTA hay un espacio entre las paletas superiores y las inferiores con una posible interposición de la lengua.

sobremordida1 SOBREMORDIDA, las paletas de arriba recubren completamente las de abajo. Las paletas inferiores pueden llegar a morder el paladar.

NIÑOS Y ADOLESCENTES

Es el ortodoncista el único que puede decidir cuándo es necesario iniciar el tratamiento.
Durante vuestra visita, es el dentista el que puede asesorar sobre el momento adecuado para comenzar.

Desde los 6 años:

Vamos a corregir los malos hábitos como la succión del pulgar o de los labios, un defecto en la respiración por la nariz, un problema del habla (ceceo), una deglutición atípica. El tratamiento temprano evitará malformaciones definitivas en los maxilares y reducir las maloclusiones para simplificar, incluso quizás evitar el tratamiento de ortodoncia demasiado complicado.
Estos, son tratamientos cortos, de 6 a 12 meses y en la mayoría de los casos, los aparatos utilizados son ligeros y adaptados a la corta edad de los pacientes.

De 8 a 13 años:

A esta edad, los primeros dientes definitivos están ya en su sitio y coexisten con los dientes de leche. Se pueden ampliar las arcadas, con el fin de permitir a los dientes, a menudo en concreto los incisivos y los caninos, evolucionar armoniosamente en la cavidad bucal.
Se puede utilizar enganches (o brackets) que se pegan en las caras de los dientes para desplazarlos haciéndoles deslizarse sobre arcos, hasta obtener una oclusión correcta y estable.

De 13 a 16 años:

Todos los dientes definitivos han salido.
Es más difícil de ganar espacio en las arcadas y por ello, a veces es necesario extraer ciertas piezas.
El niño termina su crecimiento y la diferencia en las bases óseas es a menudo irreparable.

 

ADULTOS

Son cada vez más los adultos que no han tenido la oportunidad de ver a un ortodoncista en su juventud, y por ello se deciden y dan el paso para solicitar una cita con un ortodoncista por diferentes motivos:

  • Por cuestiones estéticas: una brillante sonrisa , la imagen propia y la que dan a los demás.
  • Por problemas de masticación, problemas de respiración.
  • Por problemas de higiene: dificultades para cepillarse, gingivitis.
  • A veces incluso por dolor en las articulaciones (a nivel del oído)
  • O un desgaste de los dientes anormal.

 

APARATOS DE ORTODONCIA

APARATOS DE ORTODONCIA TRANSPARENTES

Tratamiento  mediante  férulas o alineadores invisibles realizadas a medida, que son cambiadas cada 3 semanas y deben llevarse 24 horas sobre 24(sólo se quitan en el momento de las comidas).

Ventajas e inconvenientes

 Estas férulas son invisibles, se quitan para cepillarse los dientes y limpiarlas. La higiene dental es más fácil y cómoda.

  • Hay que cambiar las férulas cada 2 o 3 semanas y visitar al ortodoncista cada 6 u 8 semanas.
  • Su precio es alto y la cooperación del paciente es indispensable ya que tienen que llevarse de forma permanente. No son muy aptas para pacientes jóvenes que se las pueden quitar y olvidarse de colocarlas, (incluso perderlas).

APARATOS DE ORTODONCIA FIJOS:

Son los aparatos más utilizados y los más eficaces ya que la fuerza que se ejerce sobre las piezas dentales son constantes y muy precisas (cada diente se desplaza individualmente). Se utilizan diversos enganches, brackets, que se pegan sobre cada diente así como arcos para los desplazamientos dentales.
- Existen diversos tipos de brackets:

  • Brackets metálicos (visibles)
  • Brackets estéticos del color de los dientes.
  • Existen también, brackets metálicos pegados sobre la cara interna de los dientes, y que no se ven.

El paciente debe pasar consulta con su ortodoncista una vez al mes para que el facultativo efectúe los ajustes necesarios al progresivo desplazamiento de los dientes.

Cualquiera que sea el tipo de aparatología utilizada, la aceptación, la motivación y la cooperación del paciente son necesarias y forman parte importante en el éxito del tratamiento.

 

C

INFORMACIÓN DE CONTACTO

Servicio profesional para el cuidado de tu salud

Contacta con Nosotros

postquotePara pedir una cita con la dentista, llama en horarios laborales o rellene el formulario con sus datos y le propondremos una cita tan pronto como sea posible.

Horario Laboral

Lunes a Viernes :  9.30h à 13h et 15h à 19h

Dentista France Michaud

Paseo Colón 30-1ºD Irún Guipúzcoa

   : 943 63 33 19
Por favor complete el campo requerido
Por favor complete el campo requerido

LOCALIZANOS CON GOOGLE MAP

Nuestra Clinica Dental esta en Irún, Paseo Colón 30. La entrada del portal del inmueble de la clínica dental está en un pasadizo que une el Centro Comercial Mendibil con el Paseo Colón cerca de la plaza del Ensanche detrás de la Comandancia de la Policía Nacional.